INFORMES DE CASO
Aortic dissection secondary to trauma, clinical management in General Hospital.
Byron René Maldonado Cabrera1, Ana Lorena Ortiz Benavides2, Ítalo Ismael Ortega Nivelo3, Daniel Alejandro González Suarez4.

Los pacientes que tienen como antecedentes traumatismos de gran impacto y, sobre todo, cuando han sido sometidos a una desaceleración brusca, pueden tener un riesgo significativo de presentar una lesión aórtica cerrada que puede poner en riesgo la vida del paciente1,2. Por lo general las lesiones que más se ob- servan tras un traumatismo por desaceleración suele ser, el des- garro a nivel del istmo aórtico, justo distal a la arteria subclavia3, sin embargo, hasta un 20% de los pacientes con antecedentes de traumatismo por desaceleración sobreviven lo suficiente para una corrección quirúrgica posterior4,5.
Siempre en un paciente con un traumatismo por desaceleración debe ser evaluado de manera integral, ya que el riesgo de pre- sentar este tipo de patologías suele ser alto y no solo depender de que, si el paciente presenta alguna sintomatología para em pezar a diagnosticar este tipo de lesiones intratorácicas6,7, ya que el principal factor de riesgo para una lesión aórtica cerrada es la rápida desaceleración ya sea, secundario a colisión de vehículos en movimiento o por caídas de grandes alturas8,9.
La disección de aorta secundario a un traumatismo por desace leración es una anomalía que se caracteriza por una rotura de las capas íntima y media seguida de un intervalo de duración impredecible, para la posterior rotura de la adventicia,además la disección de aorta puede tener varias clasificaciones (Tabla N°1, 2) dependiendo de su lugar de disección10-12.
![]()
Tabla N°1 Clasificación de Bakey
Tipo I Compromete la aorta ascendente, el arco y se extiende a la aorta descendente.
Tipo II La disección se limita a la aorta ascendente y al arco aórtico.
Tipo III La disección de origina a nivel de la subclavia izquierda y se extiende en forma distal.
![]()
Fuente. Clasificación de Bakey de la disección aórtica (Kouchoukos, Dougenis. Medical Progress: Surgery of the Thoracic Aorta. N Eng J Med 1997; 336: 1876 – 1888).
Tabla N°2
![]()
Clasificación de Stanford.
![]()
Tipo A Proximal o ascendente, con extensión o no al arco y aorta descendente.
Tipo B Distal o descendente.
![]()
Fuente. Clasificación de Stanford de la disección aórtica (Kouchoukos, Dougenis. Medical Progress: Surgery of the Thoracic Aorta. N Eng J Med 1997; 336: 1876 – 1888).
La disección de aorta secundario a un traumatismo por desacele ración es una patología que oscila entre el 1,5% al 2% en la que tiene varias clasificaciones1.
La característica principal de la lesión de la disección de aórtica tipo B es el daño de la musculatura lisa de la capa media
de la aorta5,13,14, relacionada con la degeneración fisiológica del envejecimiento, ocurre generalmente en pacientes entre la 5ta y 7ma década de la vida15,16, sumado a factores predisponentes, entre ellos, principalmente los cambios ateroescleróticos e his toria de hipertensión arterial17. La disección aórtica tipo B en pacientes jóvenes se asocia con enfermedades congénitas del co razón18,19 tales como; válvula aorta bicúspide, coartación de la aorta, además de alteraciones hereditarias del tejido conectivo como: síndrome de Marfan, Ehlers-Danlos, Noonan o Turner20- 22, en donde hay un daño conformacional de las fibras de colágeno de la capa media del vaso que son más proclives a sufrir daño estructural sometidos por la presión arterial a nivel de las paredes de la aorta9,10.
En la disección de aorta el evento desencadenante es un des- garro de la íntima con hemorragia de los vasos vasorum que paulatinamente va debilitando la pared y termina en romper la íntima13,14,23. A este suceso inicial se suman factores que determi naran la progresión de la disección factores como: la presión sis tólica, la presión arterial media, y la fuerza de tensión de la pared aórtica24,25. A medida que la sangre se va acumulando crea una doble luz que puede producir complicaciones vasculares perifé- ricas por el compromiso de la obstrucción de la salida del vaso y por la compresión de la luz verdadera por la falsa disminuyendo así el flujo hacia los territorios distales26,27. En un 60% de casos la disección de aorta puede producir algún grado de insuficiencia aórtica debido a la dilatación de la raíz aórtica, y finalmente la complicación más grave y en menor medida la ruptura aórtica6.
La mortalidad de la disección aórtica es alta reportando hasta de un 90% durante el primer mes sin tratamiento, las complica ciones de la disección de aorta tipo B se dan por la ruptura del aneurisma o por el compromiso arterial de órganos vitales en es pecial por oclusión de arterias mesentéricas y renales28,29.
El dolor es el principal síntoma que está presente en el 90% de los pacientes, el mismo es de tipo agudo lancinante de máxima intensidad que se inicia en región interescapular y que migra a medida que avanza la disección30.
Las manifestaciones neurológicas son frecuentes entre ellas se puede presentar un cuadro de focalidad neurológica sugerente de enfermedad cerebrovascular por afectación de la arteria carótida común30-32. Con menor frecuencia puede debutar con síncope30.
Otras manifestaciones que se pueden presentar son: signos de hipoperfusión periférica, el incremento de la presión arterial que se producen en la mayoría de los casos con una grave repercu sión y aumento de la disección7,33.
La insuficiencia aórtica es un signo importante de la disección aórtica proximal (50-66%) con soplo en el borde esternal derecho e intensidad dependiente de la presión arterial, que se debe principalmente a la dilatación del anillo y de la raíz aórtica4,34.
Las afectaciones de las arterias segmentarias de la aorta se ven involucradas, entre ellas las arterias coronarias en donde se ma nifestará como un infarto agudo de miocardio35 siendo en la di-
sección aórtica una entidad rara que puede ocurrir en el 2% de casos. Otras arterias importantes pueden verse afectadas, presen tando isquemia mesentérica, el infarto renal, por afectación de las arterias renales lo que desencadena hipertensión arterial, por aumento de liberación de renina36,37.
El
diagnóstico de la disección aórtica debe realizarse de una manera temprana con un cuadro de alta
sospecha clínica suge rente con los síntomas
y signos, siendo el dolor la principal
ma nifestación y orientación hacia
el diagnostico, y apoyándose en diferentes exámenes
complementarios38. Figura 1.
FIGURA No 1. Abordaje diagnóstico de disección aórtica. Fuente. Base de datos de la investigación. Elaborado por.
Autores.
Es un examen esencial en la valoración de un paciente con clí nica y sospecha de disección de la aorta, aunque tiene una baja especificidad y sensibilidad y los signos radiográficos indirectos están presentes en menos del 30% de los pacientes con disección aórtica38,39, tales como, borramiento o ensanchamiento del botón aórtico, derrame pleural generalmente de predominio izquierdo, desviación de la tráquea, distancia mayor de 6 mm entre una calcificación intimal y el contorno externo de la pared aórtica, ensanchamiento mediastínico, ensanchamiento de la aorta ascendente. La importancia de solicitarla es para el diagnóstico diferencial y patología pulmonar que puede estar presente en el diagnóstico diferencial de otras causas de dolor a nivel torácico40,41.
El electrocardiograma en la mayoría de los casos no aporta nin guna información adicional siendo normal42,43. Puede presentar signos de hipertrofia ventricular izquierda en pacientes hipertensos mal controlados43.
El electrocardiograma es fundamental en el diagnóstico diferen cial de la disección aórtica, para distinguir esta entidad del infarto agudo de miocardio, puesto que el cuadro clínico es generalmente muy similar siendo el dolor torácico la principal manifestación en ambas entidades4,44.
Es una técnica no invasiva, y se puede realizar en la cabecera del paciente. Usada en combinación con ultrasonido doppler e imá- genes de flujo a color, da información sobre la existencia y grado de regurgitación aórtica45,46. Se puede realizar en dos modalidades ecocardiografía transtorácica, con un alto valor predictivo posi tivo, pero con baja sensibilidad y especificidad al tener algunas limitaciones al ser una técnica operador dependiente, pacientes con mala ventana para visualización de las estructuras (obesos, enfisematosos1,46. La otra modalidad con una alta sensibilidad y especificidad es la ecocardiografía transesofágica, llegando a un diagnostico en el 97% de los pacientes además brinda informa ción adicional sobre el pericardio, la función sistólica y afectación valvular.
Es un método invasivo y requiere administración de medios de contraste yodado. Debido a las nuevas técnicas descritas34, cada vez este estudio se realiza con menor frecuencia. La indicación es para la valoración de las arterias coronarias antes de la inter- vención46.
Es el examen de elección para la valoración, clasificación de la disección aórtica permite valorar su desplazamiento medial. Tiene mayor especificidad que la aortografía para detectar el colgajo de íntima y las luces verdadera y falsa47.
Junto con la tomografía es la técnica de elección presentando al gunas ventajas sobre la tomografía en el diagnóstico de disección aórtica, no utiliza radiación ionizante, se puede obviar el contraste al ser la sangre un líquido hiperintenso en las distintas fases de la resonancia magnética lo cual representa una gran ventaja, si el pa- ciente es alérgico o tiene comprometida su función renal, permitiendo una adecuada valoración de la disección aórtica48.
El tratamiento de la disección de la aorta es médico y quirúrgico, esta revisión se enfoca en el tratamiento médico como abordaje para el internista.
Tratamiento médico. Se realizará una monitorización exhaustiva de la tensión arterial en ambos brazos, el ritmo cardiáco, la diuresis horaria, y cuando lo amerite, la presión capilar pulmonar y gasto el cardiaco49.
Las intervenciones iniciales se centran en control adecuado del dolor y disminuir la presión arterial sistólica, las metas de la pre sión arterial sistólica son entre 100 y 120 mmHg, lo que evita que continúe la disección sobre la capa media14. El grupo de fármacos óptimos para disminuir la presión arterial son los nitratos, admi- nistrados por vía endovenosa continua, de estos el nitroprusiato de sodio por sus características farmacodinámicas como, vida media corta y eliminación rápida del torrente sanguíneo, además de su rápido inicio de acción es el de elección1. La dosis es va- riable dependiendo de la respuesta al paciente, las dosis de inicio es de 3 a 5 mcg/kg/min y la dosis máxima debe ser inferior a 10 mcg/kg/min17. Los betabloqueantes también tienen un beneficio al disminuir las catecolaminas, el betabloqueador de elección es el labetalol por su presentación intravenosa, también se pueden utilizar otros betabloqueantes más cardio selectivos como ate nolol o el metoprolol1.
Paciente masculino de 35 años, con antecedentes de inmuniza ción para SARS COV 2 hace 7 meses y traumatismo cráneo en- cefálico moderado, hematoma epidural parietal derecho, con re- solución quirúrgica hace 18 meses, se descartó lesiones a nivel de tórax con radiografía de tórax normal, además se realizó ecografía FAST, para evaluación de pacientes politarumatizados, en ventana perihepática, suprapúbica, periesplénica y subxifoidea sin encon- trar alteración, que acudió a emergencia del Hospital Básico por presentar cuadro de hemiparesia derecha más disartria, se realiza tomografía de cráneo sin encontrarse lesión, catalogándose como evento cerebrovascular isquémico. Permanece hospitalizado du rante una semana con recuperación neurológica espontanea, posteriormente al cuadro se suma, disnea de grandes esfuerzos por lo que se realiza radiografía de tórax que refleja cardiomegalia, se deriva a hospital de tercer nivel al servicio de cardiología donde realizan ecocardiograma transtorácico que reporta aneurisma + di- sección de aorta ascendente de 15 mm e insuficiencia valvular aór tica de grado severo, por lo que se decide su ingreso para valora ción y tratamiento integral.
Al momento del ingreso con signos vitales: Presión Arterial: 126/60mmHg, Frecuencia Cardiáca: 93xmin, Frecuencia Respira toria: 20xmin, Temperatura: 36.5°C, Saturación de O2 96%, peso: 63kg y talla: 165cm
Pulmonar: elasticidad y expansibilidad conservada, frémito con servado, murmullo vesicular conservado, no presenta ruidos so bre añadidos.
Corazón: soplo sisto/diastólico en foco aórtico irradiado hacia foco tricuspídeo Levin grado IV que no se modifica con maniobras de Valsalva y bipedestación que aumenta la intensidad con las manio bras de Rivero-Carvallo.
Examen neurológico: paciente vigil orientado en las tres esferas neurológicas, pares craneales sin alteración, reflejos conservados, fuerza muscular 4/5 en hemicuerpo derecho, sensibilidad super ficial y profunda conservada, tono muscular conservado, marcha normal.
Ecocardiograma Transtorácico: Realizado al momento del ingreso del paciente: Ventrículo izquierdo con hipertrofia excéntrica, anillo tricuspídeo lateral (TAPSE) 19 mm, válvula aórtica con falla de coaptación entre sus cúspides, flujo en color demuestra insufi ciencia grado mínimo, presión sistólica en la arteria pulmonar es- timada en 49 mmHg, vena cava inferior (VCI) mide 10mm, aneu risma + disección de aorta ascendente + insuficiencia valvular aór tica grado severa.
Tomografía computarizada (TC) de tórax. Realizado cuatro horas posterior al ingreso del paciente (Imagen 1 y 2).
Aortografía (Imagen 3 y 4).
Resonancia Magnética Nuclear Cerebral. Realizado a los doce días posterior al ingreso del paciente: Signos de involución cortical, quiste aracnoideo temporal bilateral. Imagen a considerar proceso isquémico subagudo en lóbulo parietal núcleo semioval izquierdo. Hipófisis aplanada más aracnoidocele grado IV, leve desviación septal derecha en área II de Cottle. Engrosamiento de la mucosa de los cornetes por hipertrofia.

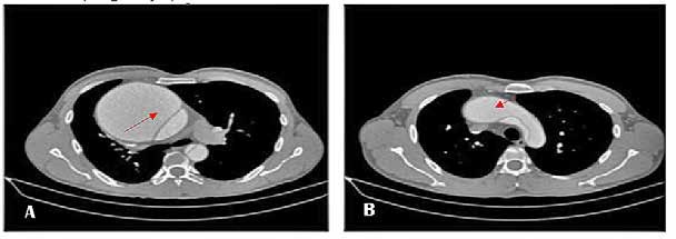
IMAGEN 1 . TC. Aneurisma voluminoso de la raíz aórtica que compromete la aorta ascendente que mide 14 x 13 cm, (Imagen A) Flap de disección que separa la luz verdadera de la falsa, dicho flap compromete la raíz aórtica, la aorta ascendente y se extiende hasta el extremo proximal de la aorta descendente (Imagen A y B).
IMAGEN 2. Reconstrucción tridimensional de aortografia por TC: Observe
flechas Aneurisma sacular
disecante de aorta
ascendente con extensión al cayado y parte de aorta descendente (Tipo A de Stanford). Imagen A reconstrucción imagen lateral, Imagen B reconstrucción imagen frontal.
Fuente. Base de datos de la investigación.
Elaborado por. Autores.
![]() |
Fuente. Base de datos de la investigación. Elaborado por. Autores.
IMAGEN
4. Aortografia por TC reconstrucción en 3 dimensiones fase arterial: Aneurisma
sacular disecante de aorta ascendente
y parte de aorta descendente Tipo A de Stanford. Imagen A reconstrucción imagen anterior, Imagen B reconstrucción imagen posterior.
Fuente. Base de datos de la investigación. Elaborado por. Autores.
Posterior al diagnostico realizado de disección aórtica, se comu nico al área de terapia intensiva en donde se ingresó al paciente. Se realizó monitorización de las constantes vitales, con monitorización invasiva de la presión arterial, posterior se instauro tra tamiento farmacológico con betabloqueante, en este caso betalol intravenoso a dosis de 20 mg en bolo y posterior infusión de la- betalol a 1 mg/ min por doce horas, como objetivo de la presión arterial sistólica de 100 mm/Hg y una frecuencia cardiaca entre 70 y 60 latidos por minuto, al cumplir las metas se realizó cambio de betabloqueante intravenoso a carvedilol via oral 12.5 mg cada doce horas. Para el control del dolor se administró morfina 4 mg intravenosa cuando haya dolor. Paciente fue valorado por cirugía vascular, quien indica activación de red a hospital de mayor com plejidad para tratamiento quirúrgico definitivo.
La disección de aorta es una anomalía que se caracteriza por la creación de una falsa luz en la capa media aórtica3,11. Para des cribir los distintos tipos de disección se ha utilizado varias cla sificaciones, entre las más importantes están la clasificación de Bakey y Stanford3,13. Tablas 1,2.
La clasificación de Stanford fue propuesta en 1970 por Dayli y colaboradores y la clasifica como Tipo A Proximal o ascendente, con extensión o no al arco y aorta descendente y Tipo B distal o descendente siendo esta la clasificación que más relevancia ha cobrado por la mayoría de los autores debido a su utilidad prác tica en cuanto al tratamiento y pronóstico3,7,11.
En el caso que se presenta, el paciente al tener un antecedente de politrauma ocurrido hace 18 meses es esencial, ya que este dato puede pasar desapercibido si no se hubiera tenido en cuenta du rante la evaluación médica. La relación entre el trauma y la disec ción aórtica es un tema importante a considerar, ya que el trauma puede debilitar la pared aórtica, predisponiendo a la formación de una disección en el futuro11. Este antecedente de trauma se convirtió en un punto de partida crucial para el diagnóstico por descarte, además en el diagnóstico de la disección aórtica, no se debe subestimar la importancia de los antecedentes médicos y, en particular, los eventos traumáticos previos7. Estos antecedentes pueden ser la clave para un diagnóstico temprano, que es crucial para iniciar el tratamiento adecuado y evitar complicaciones po tencialmente mortales23.
La mortalidad de la disección aórtica es alta sin tratamiento e incrementa con el pasar de las horas y aunque la disección secundaria a traumatismo es poco frecuente, el diagnóstico siempre debe estar presente en caso de trauma por desaceleración, el sín toma principal es el dolor torácico, sin embargo se debe tener en cuenta otras manifestaciones no tan típicas como en el de este caso que la principal manifestación fue la disnea que refirió el paciente, ya que un diagnóstico oportuno es vital para la supervivencia del paciente, y muchas veces sus manifestaciones se pasan por alto al no ser las esperadas o inespecíficas como en este caso. El tratamiento es clínico y quirúrgico, siempre enfocado a dismi nuir el riesgo de mortalidad.
SARS COV 2: severe acute respiratory syndrome coronavirus 2; TAPSE: anillo tricuspídeo lateral; FAST: (del inglés: rápido; en ecografía: ultrasonido de trastreo y urgencia); TC: Tomografía computarizada; VCI: vena cava inferior.
BM: Concepción y diseño del trabajo, Recolección / obtención de resultados, Análisis e interpretación de datos, Redacción del manuscrito, Revisión crítica del manuscrito, Aprobación de su versión final, Rendición de cuentas. (ICMJE).
Se utilizaron recursos bibliográficos de uso libre y limitado. La información recolectada está disponible bajo requisición al autor principal.
Considerando, el “Reglamento Sustitutivo del Reglamento para la Aprobación y Seguimiento de Comités de Ética de Investiga- ción en Seres Humanos (CEISH)”, aprobado el 02 de agosto de 2022 mediante Acuerdo Ministerial 00005, que menciona: “Artí- culo 59.- Los reportes o análisis de casos clínicos se po- drían considerar como exentos de evaluación y aprobación por un CEISH. Sin embargo, para su desarrollo deben contar con el consentimiento informado del titular o representante legal cuando corresponda, previo a la revisión de la historia clínica y recopilación de datos de ésta.”
La publicación fue aprobada por el Comité de Política Editorial de la Revista Médico Científica CAMbios del HECAM en Acta 004 de fecha 29 de septiembre del 2023, ya que el estudio cuenta con consentimiento informado del paciente.
Se trabajó con recursos propios del autor.
Los autores reportaron no tener ningún conflicto de interés personal, financiero, intelectual, económico y de interés corporativo.
1. Tchana-Sato V, Sakalihasan N, Defraigne JO. [Aortic dis- section]. Rev Med Liege. 2018 May;73(5–6):290–5. Available from: https://pubmed.ncbi.nlm.nih.gov/29926568/
2. Zhu X, Han X, Cui C, Sheng X, Zhang D, Hou C, et al. Radiofrequency perforation and balloon valvuloplasty in infants with pulmonary atresia and intact ventricular septum. Zhonghua Er Ke Za Zhi Chin J Pediatr. 2007 Mar;45(3):194–8. Available from: https://pubmed.ncbi. nlm.nih.gov/17504623/
3. Baliga RR, Nienaber CA, Bossone E, Oh JK, Isselbacher EM, Sechtem U, et al. The role of imaging in aortic dis- section and related syndromes. JACC Cardiovasc Imaging. 2014 Apr;7(4):406–24. Available from: https://pubmed. ncbi.nlm.nih.gov/24742892/
4. Silaschi M, Byrne J, Wendler O. Aortic dissection: me- dical, interventional and surgical management. Heart Br
Card Soc. 2017 Jan 1;103(1):78–87. Available from: https:// pubmed.ncbi.nlm.nih.gov/27733536/
5. Hughes GC. Management of acute type B aortic dissection; ADSORB trial. J Thorac Cardiovasc Surg. 2015 Feb;149(2 Suppl):S158-162. Available from: https://pubmed.ncbi.nlm. nih.gov/25306065/
6. Meng X, Han J, Wang L, Wu Q.Aortic dissection during preg- nancy and postpartum. J Card Surg. 2021 Jul;36(7):2510–7. Available from: https://onlinelibrary.wiley.com/doi/10.1111/ jocs.15575
7. Hagan PG, Nienaber CA, Isselbacher EM, Bruckman D, Karavite DJ, Russman PL, et al. The International Registry of Acute Aortic Dissection (IRAD): new insights into an old disease. JAMA. 2000 Feb 16;283(7):897–903. Available from: https://pubmed.ncbi.nlm.nih.gov/10685714/
8. Parve S, Ziganshin BA, Elefteriades JA. Overview of the current knowledge on etiology, natural history and treat- ment of aortic dissection. J Cardiovasc Surg (Torino). 2017 Apr;58(2):238–51. Available from: https://pubmed.ncbi. nlm.nih.gov/28124516/
9. Marroush TS, Boshara AR, Parvataneni KC, Takla R, Mesiha NA. Painless Aortic Dissection. Am J Med Sci. 2017 Nov;354(5):513–20. Available from: https://pubmed.ncbi. nlm.nih.gov/29173364/
10. Zhao R, Wu JL, Qiu JT, Yu CT. Overview of multi-center registry of aortic dissection. Zhonghua Wai Ke Za Zhi. 2020 Aug 1;58(8):604–7. Available from: https://pubmed.ncbi. nlm.nih.gov/32727191/
11. Buivydaite K, Semenaite V, Brazdzionyte J, Macas A. [Aortic dissection]. Med Kaunas Lith. 2008;44(3):247–55. Available from: https://pubmed.ncbi.nlm.nih.gov/18413993/
12. Mukherjee D, Eagle KA. Aortic dissection--an update. Curr Probl Cardiol. 2005 Jun;30(6):287–325. Available from: https://pubmed.ncbi.nlm.nih.gov/15973249/
13. DeSanctis RW, Doroghazi RM, Austen WG, Buc- kley MJ. Aortic dissection. N Engl J Med. 1987 Oct 22;317(17):1060–7. Available from: https://pubmed.ncbi. nlm.nih.gov/3309654/
14. Garrett BN, Ram CV. Acute aortic dissection. Cardiol Clin. 1984 May;2(2):227–38. Available from: https://pubmed. ncbi.nlm.nih.gov/6399865/
15. Finkelmeier BA, Marolda D. Aortic dissection. J Cardio- vasc Nurs. 2001 Jul;15(4):15-24. doi: 10.1097/00005082- 200107000-00003. PMID: 11419663.
16. Aortic valve insufficiency in the teenager and young adult: the role of prosthetic valve replacement - Wold J Pe- diatr Congenit Heart Surg. 2013 Ict 4(4): 397-402. Available from: https://pubmed.ncbi.nlm.nih.gov/24327634/
17. Elsayed RS, Cohen RG, Fleischman F, Bowdish ME. Acute Type A Aortic Dissection. Cardiol Clin. 2017 Aug;35(3):331–45. Available from: https://pubmed.ncbi. nlm.nih.gov/28683905/
18. Finkelmeier BA, Marolda D. Aortic dissection. J Cardio- vasc Nurs. 2001 Jul;15(4):15–24. Available from: https:// pubmed.ncbi.nlm.nih.gov/11419663/
19. Jolobe OMP. Murmurs other than the early diastolic murmur in aortic dissection. Am J Emerg Med. 2021 Nov;49:133–6. Available from: https://pubmed.ncbi.nlm. nih.gov/34102459/
20. Han J, Xiang H, Ridley WE, Ridley LJ. Aortic beak sign: Aortic dissection. J Med Imaging Radiat Oncol. 2018 Oct;62 Suppl 1:14. Available from: https://pubmed.ncbi.nlm.nih. gov/30309182/
21. Dmowski AT, Carey MJ. Aortic dissection. Am J Emerg Med. 1999 Jul;17(4):372–5. Available from: https://pubmed. ncbi.nlm.nih.gov/10452437/
22. Finkelmeier BA, Marolda D. Aortic dissection. J Cardio- vasc Nurs. 2001 Jul;15(4):15–24. Available from: https:// pubmed.ncbi.nlm.nih.gov/11419663/
23. Beam AS, Moore K. Familial Thoracic Aortic Dissection. Radiol Technol. 2021 May;92(5):428–34. Available from: https://pubmed.ncbi.nlm.nih.gov/33903262/
24. Koechlin L, Schuerpf J, Bremerich J, Sommer G, Gahl B, Reuthebuch O, et al. Acute aortic dissection with entry tear at the aortic arch: long-term outcome. Interact Cardio- vasc Thorac Surg. 2021 Jan 1;32(1):89–96. Available from: https://www.ncbi.nlm.nih.gov/pmc/articles/PMC8906687/
25. Larson H. Aortic Dissection. Radiol Technol. 2017 Nov;89(2):193–5. Available from: http://www.radiolo-gic- technology.org/content/89/2/193.extract
26. Tolis G, Sundt TM. Contemporary insights into the mana- gement of type an aortic dissection. Expert Rev Cardiovasc Ther. 2016 Oct;14(10):1189–96. Available from: https:// pubmed.ncbi.nlm.nih.gov/27454184/
27. Sfeir PM, Issa K, Ayoub CM. Mesenteric Malperfu- sion Syndromes in Type A Aortic Dissection: Current Ma- nagement Strategies. J Cardiothorac Vasc Anesth. 2021 Dec;35(12):3711–9. Available from: https://pubmed.ncbi. nlm.nih.gov/34217577/
28. Zimmermann M, Hittinger R, Court A, Cuttone F. Type B aortic dissection and interrupted aortic arch. Eur J Car- dio-Thorac Surg Off J Eur Assoc Cardio-Thorac Surg. 2021 Jul 30;60(2):432. Available from: https://pubmed.ncbi.nlm. nih.gov/33619547/
29. Setacci F, Sirignano P, de Donato G, Chisci E, Pe- rulli A, Setacci C. Acute aortic dissection: natural his- tory and classification. J Cardiovasc Surg (Torino). 2010 Oct;51(5):641–6. Available from: https://pubmed.ncbi.nlm. nih.gov/20924325/
30. Baumann F, Makaloski V, Diehm N. [Aortic aneurysms and aortic dissection: epidemiology, pathophysiology and diagnostics]. Internist. 2013 May;54(5):535–42. Available from: https://pubmed.ncbi.nlm.nih.gov/23558776/
31. Minatoya K. The reality of the treatment for acute aortic dissection in a megacity. Eur J Cardio-Thorac Surg Off J Eur Assoc Cardio-Thorac Surg.2021 Oct 22; 60(4):965–6. Avai- lable from: https://pubmed.ncbi.nlm.nih.gov/34077497/
32. Czerny M, Rylski B, Beyersdorf F. Thoracic endovas- cular aortic repair for uncomplicated type B aortic dissec- tion. Curr Opin Cardiol. 2016 Nov; 31(6): 606–10. Avai- lable from: https://pubmed.ncbi.nlm.nih.gov/27583374/
33. Ilyas S, Goodney PP. The Next Step in Type B Aortic Dis- section. J Am Coll Surg. 2021 Jan;232(1):53–4. Available from: https://pubmed.ncbi.nlm.nih.gov/33308767/
34. Miri R, Mleyhi S, Ben Mrad M, Derbel B, Souid A, Boukriba S, et al. Endovascular repair of ruptured Type B aortic dissection. J Med Vasc. 2021 Jul;46(4): 186–9. Avai- lable from: https://pubmed.ncbi.nlm.nih.gov/34238514/
35. Ichihara Y, Azuma T, Saito S, Niinami H. Nutcracker sy-
ndrome due to chronic aortic dissection. J Card Surg. 2021 Mar;36(3):1138–9. Available from: https://pubmed.ncbi. nlm.nih.gov/33527481/
36. Svensson LG, Crawford ES. Aortic dissection and aortic aneurysm surgery: clinical observations, experimental in- vestigations, and statistical analyses. Part I. Curr Probl Surg. 1992 Nov;29(11): 817–911. Available from: https:// pubmed.ncbi.nlm.nih.gov/1464240/
37. Grewal S, Contrella BN, Sherk WM, Khaja MS, Wi- lliams DM. Endovascular Management of Malperfusion Syndromes in Aortic Dissection. Tech Vasc Interv Radiol. 2021 Jun;24(2):100751. Available from: https://pubmed. ncbi.nlm.nih.gov/34602272/
38. Robicsek F, Thubrikar MJ. Hemodynamic considerations regarding the mechanism and prevention of aortic dissec- tion. Ann Thorac Surg. 1994 Oct;58(4):1247–53. Available from: https://pubmed.ncbi.nlm.nih.gov/7944800/
39. Khoynezhad A, Gupta PK, Donayre CE, White RA. Current status of endovascular management of compli- cated acute type B aortic dissection. Future Cardiol. 2009 Nov;5(6):581–8. Available from: https://pubmed.ncbi.nlm. nih.gov/19886785/
40. Craiem D, Casciaro ME. Age-associated changes in aortic geometry in patients with type B aortic dissection. Eur J Cardio-Thorac Surg Off J Eur Assoc Cardio-Thorac Surg. 2021 Jul 14;60(1):203–4. Available from: https://ri.conicet. gov.ar/handle/11336/181610
41. Tajdini M, Bayati M, Vasheghani-Farahani A. Aortic dis- section and cystinosis: is there any relationship? Cardiol Young. 2017 Sep;27(7):1434–6. Available from: https:// pubmed.ncbi.nlm.nih.gov/28490397/
42. Mohamed SA, Misfeld M, Richardt D, Sievers HH. Iden- tification of candidate biomarkers of acute aortic dissec- tion. Recent Pat DNA Gene Seq. 2008; 2(1):61–5. Available from: https://pubmed.ncbi.nlm.nih.gov/19075946/
43. Hanson J. Aortic dissection. Aust Fam Physician. 2002 May;31(5):459–60. Available from: https://pubmed.ncbi. nlm.nih.gov/12043552/
44. Erbel R, Zamorano J. The aorta. Aortic aneurysm, trauma, and dissection. Crit Care Clin. 1996 Jul;12(3):733–66. Avai- lable from: https://pubmed.ncbi.nlm.nih.gov/8839603/
45. Aalam A, Lafleur J. Aortic dissection in a 19 year old male without risk factors. Am J Emerg Med. 2020 Feb;38(2):410. e1-410.e3. Available from: https://pubmed.ncbi.nlm.nih. gov/31836343/
46. Yang B. Replu from the autor: Respect mother natu- re-aortic root repari in acute type a aortic dissection. J Thorac Cardiovasc Surg. 2021 Feb;161(2):e155–7. Avai- lable from: https://pubmed.ncbi.nlm.nih.gov/33229174/
47. Oakley CM. Aortic dissection. Q J Med. 1991 May;79(289):379–80. Available from: https://water- mark.silverchair.com/79-2-379.pdf?token=AQECA- Hi208BE49Ooan9kkhW_Ercy7Dm3ZL_9Cf3qfKA- c485ysgAAA2IwggNeBgkqhkiG9w0BBwagggNP- MIIDSwIBADCCA0QGCSqGSIb3DQEHATAeB-glghkgBZQMEAS 4w EQQMkBBei8NvDI8iENv- TAgEQgIIDFWXi4AuguHN2HcIUV74Ww5Pp-cOSJ9-zPLkotH26YY4iI3YuE8zArvwlP5xKx-1oeJdZ- 7GvDIzaZbGKbh62nv9nrUR_Ymb6RTInm5Hk7Yw-g8Utp3mZufEBc2My7r3zTiw4vxvVQXMa2PUw- DTgF5tMlibxZYjxxRjAcMWThkk3C1SvR_Md_2A- V33ZEgkNnlcTLZTzED6Q_AyXA28QowofSk
vHb6mr58aYOy0P4jumi7suZtAlVOybaoSWg6nL- CjRGADjTD0XFYTPzON29fYxvN7RZaVKq-jC-
g5b-mHaxjjba1wTU90W87qKqFN9Jd4HxLKbvT- 0lUYjVYY9u4hNbO_WkEV7ExtW-Vo8Zaq21jTfYZ- JQmZJ9TT7Uiec9j4rZy7_vDo-KXY0-8D4goJMy7v- bFGY9gFgiQ4RZfIQNvhhBxVmWO_fu_NhQRCIq- BRo18zeeR2EwvcBEU86dIWHzcyaBxpqr_Ql8yromHW- co3zcBnyyoy0b0behVTxkwwYaWX7XN7K-PICtnS-6N7N1pgOui4LBbC3aAtSFfNwbzjxVe7N9efVwL- PVvlTcl8-gX99r9REa0BU_tb2jH9_ImLCO0pgMQ-BLoXShLcTzHi1pLZjcVsbt0sVm_Qt12edjldTBSj-t_K_t-TGo9xr-WeFmikgFhrR1_Z0fRkLpqJdF1ZLE1p- kI0rsijn9BmdlmSevEmvLiUpYUAa0CbRGzgD_uIP- 9mW_6DnS35FF33USxYK6AvbSsa8TEw06_8APh1r- bAXD922i1yZKnzwWAOQGd_98WTSuimPrOYT- NiMhV2co47VVIbYwpfP0qxUrGxpeJecHgnGDtNoqfT- zRPzX2UZJz-rRW0T3oNKoYZVjSUKXH9RpitX6ur-8T7XEEa-VBXeYSNXhhvkyg1wp7OSkQ-XfGVAa_ icROcZdBenm74Vn5X8izwiYurIq91WcZucPaRu1fXy8b-PdIJIV90OXXoi0zq-OUzoHLtPNE7Guew2KKHMlgL- Z35DTB0jY7dqdEeR941H1PeT6T_vAm4MQO5d0Xlg-MWhskAAnwLXjXYgxQ
48. Zhang D, Lin Y, Liu Y, Zhang X, Jiang C. Clinical analysis of aortic dissection with sudden coma and pa- raplegia as the main symptoms. J Int Med Res. 2020 Mar;48(3):300060519895843. Available from: https:// pubmed.ncbi.nlm.nih.gov/32216512/
49. Wada T, Ohuchi S, Oyama S, Takagi D, Igarashi W, Yama- moto H. Ruptured type A aortic dissection with saddle pul- monary embolism-like appearance on computed tomography angiography. J Card Surg. 2021 Sep;36(9):3376–7. Avai- lable from: https://pubmed.ncbi.nlm.nih.gov/34056756/